Landmark Brain Injury Case Report  

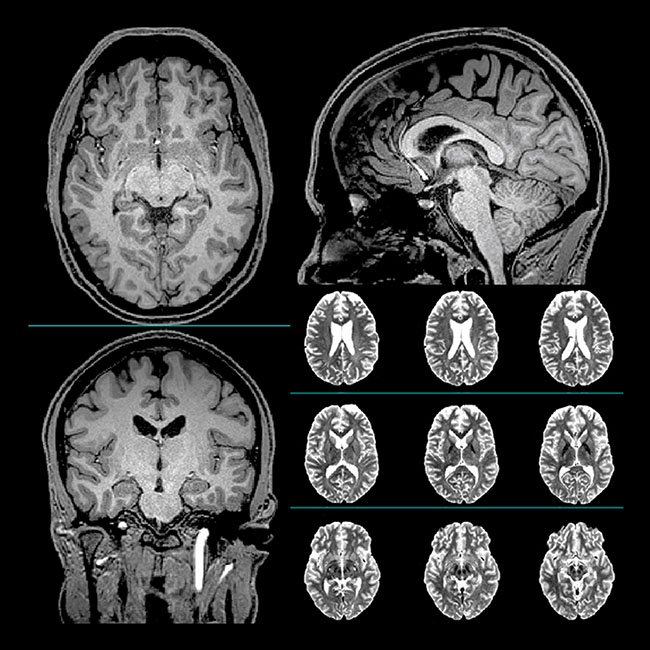
MRI brain baseline Chao study 2020The loss of brain cells from brain injuries is a well-documented phenomenon. In moderate to severe cases of brain injuries, the generalized loss could amount to 5% of brain cells per year. These are cells that include those in the areas of the brain that affect cognition and memory functions. In a recent study, a professional hockey player, with multiple concussions and generalized loss or atrophy of the brain cells, was observed. These deficiencies were the results of injuries received during his hockey career. Professor Linda Chao of the University of California San Francisco (UCSF) was the lead investigator in the study. The subject was treated with two Vielight transcranial-intranasal devices — the Neuro Gamma, followed by the Neuro Alpha, over a period of eight weeks.

The results of this study showed improvements in learning, memory, executive functions, attention, and mental processing speed. This is a very significant finding because, for the first time ever, a study was able to show measurable growth of gray matter due to transcranial photobiomodulation (tPBM), in some important areas of the brain, in a human. The growth was present in the hippocampus and thalamic areas.

Indeed, the study provides significant evidence that PBM helps the brain to repair itself!  Magnetic resonance imaging (MRI) was used to measure the growth of neurons. In addition to growth and repair of damage in the brain cells, the brain was observed to perform more efficiently.

The study was published in the September issue of Frontiers in Neurology. This is a link to the study: https://www.frontiersin.org/articles/10.3389/fneur.2020.00952/full

Dr Lew Lim Comments

Co-author Dr. Lew Lim, who is Vielight Founder & CEO, commented, “For objective evidence of real recovery in a brain, the gold standard is a measured increase in the volume of brain cells through objective imaging. Although this is only a single case, the evidence could be stronger than in a controlled study with several subjects. This is because there are no placebo-related false positives in such brain imaging. The finding also gives us more optimism for our ongoing pivotal clinical trial for Alzheimer’s, where the reversal of brain atrophy would contribute to positive outcomes.”

More information about the Alzheimer’s pivotal clinical trial can be found by following this link: https://www.vielight.com/de//vielight-alzheimers-disease-trial/.

Dr. Lim added, “These findings provide an additional validation of earlier studies that presented improved brain functions, when
subjects with traumatic brain injuries were treated with a Vielight Neuro or other PBM-based brain treatment methods. I look forward to more evidence and validation through future studies involving more subjects, which employ brain imaging methods, including EEG.” 

We are Actively Recruiting for the COVID-19 Clinical Trial

Our clinical trial, to indicate the Vielight RX Plus for COVID-19, is ongoing. We are actively recruiting subjects to evaluate whether our device could be a first-line treatment, and helpful in offering a solution to this great COVID-19 pandemic.

The study collects data for evidence to confirm whether a person infected with COVID-19 recovers more quickly when treated with a Vielight RX Plus device.

It would be a welcome alternative to those who prefer a non-pharmaceutical treatment. 

Please help to pass the word around that we are recruiting subjects who have been tested and confirmed to have COVID-19 in Ontario, Canada and throughout the US, particularly in the states of Florida and Texas.

More information about the trial is accessible at https://covidlight.ca.

Vielight and the Clinical Trial for COVID-19 Covered in the Canadian National News

One of Canada’s largest television networks, CTV, featured Vielight’s COVID clinical trial in a national news segment. A recording of this segment, “Scientists studying whether light can be harnessed to kill the coronavirus”, is available at https://www.ctvnews.ca/health/coronavirus/scientists-studying-whether-light-can-be-harnessed-to-kill-the-coronavirus-1.5141292.

Among the interviewed was Guillermo Tearney, co-director of the Massachusetts General Brigham Center for COVID Innovation. He supports the premise that light therapy can cause sick and dying cells to heal and recover. As earlier studies suggest, the red and near infrared (NIR) light can reduce the viral population, diminishing the severity of effects of COVID.

The principal clinical trial investigator of the Vielight trial, Dr. Roy Tingley, and retired Associate Prof. of Harvard Medical School, Michael Hamblin, were also interviewed.

Dr. Lew Lim to Present at Special Neurofeedback Webinar

On Wednesday, October 21, 2020 at 12 PM EST, Dr Lew Lim will present a webinar, “What Neurofeedback Practitioners Need to Know about Photobiomodulation”.

what neurofeedback practitioners need to know about PBMThe webinar description states that, “Neurofeedback practitioners increasingly recognize that photobiomodulation (PBM) can produce significantly positive outcomes when light energy is directed to the brain in calculated doses. However, it is an emerging application that clearly has not revealed all of its secrets — in fact far from it. Probably, few are better positioned to discuss newly discovered evidence as well as ongoing research than Dr. Lim. He is supported by his large team of researchers and by a network of third-party researchers.

The webinar will cover some biological mechanisms that are key to understanding the differences between PBM and other forms of brain stimulation, the effect of dose, pulsing and focal stimulation. This one-of-its-kind seminar covers the areas of investigation into enhancement of the effectiveness of PBM and the vast potential of its use, awaiting to be discovered. Topics like cognition, altered states, pain relief, as well as ongoing medical clinical trials, will be discussed. We expect that with more investigations and studies, there will be startling impact on the future of brain stimulation.”

This webinar is open to anyone with an interest in the latest understanding of the parameters for effective brain PBM. It can be of particular interest to those seeking the latest information on how to improve one’s brain functions. Registration information is available at https://isnr.org/events/what-neurofeedback-practitioners-need-to-know-about-photobiomodulation-presented-by-dr-lew-lim.